La especialización del trabajo del tejido conjuntivo determina la aparición de varios tipos celulares: 1) fibroblasto, 2) Macrófago, 3) célula mesenquimatosa indiferenciada, 4) mastocito, 5) plasmocito, 6) célula adiposa y 7) Leucocitos.
1) Fibroblasto:
La más común del tejido conjuntivo y el principal responsable de la formación de las fibras y el material intercelular amorfo. Dos tipos: la célula joven, en intensa actividad de síntesis, tiene morfología diferente del fibroblasto que ya sintetizó mucho u que se sitúa entre las fibras elaboradas por él. Generalmente se llama fibroblasto a la célula joven y fibrocito a la célula madura.
El fibroblasto tiene prolongaciones citoplasmáticas irregulares, núcleo claro, grande y ovoide. El fibrocito es una célula menor que tiende a ser fusiforme y tiene menor número de prolongaciones que el fibroblasto, presenta núcleo más pequeño alargado y oscuro, en procesos de cicatrización el fibrocito puede volver a sintetizar fibras.
Estas células sintetizan colágeno y también mucopolisacáridos de la sustancia amorfa. En el tejido conjuntivo del adulto los fibroblastos no se dividen con frecuencia, entrando en mitosis por ejemplo el lesiones el tejido conjuntivo.
2. Macrófago:
Presenta capacidad de ponocitocis y fagocitosis de morfología variable de acuerdo con el estado funcional y localización de la célula. Pueden ser fijos o libre.
Fijos son los histocitos, los libres son los que migran por medio de movimientos amebiodes. Los macrófagos fijos son fisiformes o estrellados y tienen núcleos ovoides, juegan un papel importante en la eliminación de los restos celulares y los elementos intercelulares que se forman en procesos fisiológicos involutivos. Cuando ingresan cuerpos extraños los macrófagos se unen unos a otros, constituyendo células mucho más grandes con 100 o más núcleos: son las células gigantes de cuerpo extraño.
Los macrófagos se originan de los monocitos, células de la sangre que atraviesan la pared de vénulas y capilares y penetran en el tejido conjuntivo donde adquieren un aspecto morfológico del macrófago. Son las mismas células pero en fases funcionales diferentes. A su vez en monocito se origina en la médula ósea.
3. Célula mesenquimatosa indiferenciada:
El tejido conjuntivo adulto contiene células con la misma potencialidad de las del mesénquina y con capacidad de originar cualquier otra célula del tejido conjuntivo.
Estas células reciben el nombre de células adventicias por estar situadas generalmente alrededor de capilares.
4. Mastocito:
Es un célula globular, grande, sin prolongaciones y con el citoplasma lleno de gránulos basófilos que se tiñen intensamente. El núcleo es esférico y central, pero con frecuencia no es visible por estar cubierto por gránulos citoplasmáticos. Son relativamente numerosos en diversas variedades del conjuntivo, pero son difíciles de observar en preparaciones con hematoxilina-eosina. Los gránulos contienen heparina, un glucosaminoglicano sulfatado. Además contienen otros mediadores químicos, como la histamina y ECF-A que es el factor quimiotáctico de los eosinófilos en la anafilaxia.
Los mastocitos segregan una sustancia de acción lenta o SRS-A. La liberación de los mediadores químicos almacenados en los mastocitos estimulan las reacciones alérgicas llamadas "reacciones de sensibilidad inmediata", porque tienen lugar pocos minutos después de la anafilaxia, pero no son las únicas células que participan en este fenómeno.
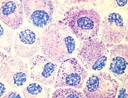
5. Células plasmáticas:
Son pocas numerosas en el tejido conjuntivo normal, excepto en los lugares sujetos a penetración de bacterias y proteínas extrañas, como la mucosa intestinal, pero aparecen muchas en las áreas donde existe inflamación crónica.´
Las células plasmáticas tiene una forma ovoidal con abundante retículo endoplásmico rugoso. El núcleo es esférico y no está localizado centralmente por lo general. Los anticuerpos circulantes en la sangre son sintetizados por los plasmocitos.
6. Célula adiposa:
Especializada en almacenamiento de grasas neutras
7. Leucocitos:
Son los glóbulos blancos, se encuentran en el conjuntivo provenientes de la sangre por migración a través de los capilares y vénulas. La migración de leucocitos del interior de los vasos al tejido conjuntivo aumenta mucho en la inflamación. Los más frecuentes en el tejido conjuntivo son: eosinófilos y linfocitos.
No hay comentarios:
Publicar un comentario