miércoles, 23 de noviembre de 2011

Histología de los Vasos sanguíneos


          Las arterias es hacia el lugar donde el corazón bombea la sangre, que la distribuyen al dominio microvascular de distintos tejidos y órganos. Esto dominio comienza con las arteriolas, que conducen la sangre a reticulado denso o capilares, donde la sangre es recogida por las vénulas y donde ocurre intercambio de gases, sales, agua y metabolitos.

La circulación menor transporta la sangre hacia los pulmones y de regreso al corazón. La circulación mayor transporta la sangre hacia los demás tejidos y de regreso al corazón.

 

Estructura de vasos sanguíneos:

-          Pared vascular con revestimiento interno liso compuesto por capa única de células endoteliales (constitución exclusiva de capilares). También pueden ir acompañados de zonas tisulares alrededor de éste.
-          Zona tisular: cantidad variable de tejido conectivo y células musculares lisa, con 3 capas (menos capilares):
o   túnica íntima interna: una capa de células endoteliales, a veces rodeada por tejido conectivo subendotelial.
o   túnica media intermedia: tejido conectivo y células musculares lisas, concéntricas.
o   túnica adventicia externa: revestimiento externo de tejido conectivo, se continúa con tejido conectivo circundante.

I-. Arterias:

-          Transporta sangre a dominio microvascular en tejidos y órganos.
-          Comienza con aorta (izquierdo) y tronco pulmonar (derecho)
-          Ramificaciones con diámetro decreciente.
-          Capacidad creciente, disminuyendo velocidad de flujo y presión sistólica (contracción cardiaca).
-          Pared fuerte y gruesa (impide colapso), musculatura lisa y componentes elásticos.

Arterias elásticas:

-          Arterias grandes con numerosas membranas elásticas en pared.
-          Diámetro superior a 10 mm (indican diámetro luminar)
-          Aorta (la mas grande), tronco pulmonar y sus arterias pulmonares, carótida, subclavia, coronaria.

-          Túnica intima:
o   Células endoteliales poligonales y aplanadas y núcleo aplanado (en microscopio forma abultamiento luminal).
o   Unidos por zona occludens con nexos muy relacionados.
o   Citoplasma con vesículas de transporte transendotelial.
o   Lamina basal separa endotelio de capa subendotelial de tejido conectivo laxo, celulas musculares lisas aisladas y fibroblastos dispersos.

-          Túnica media:
o   Membrana interna se denomina lámina elástica interna.
o   Aorta: 50 membranas elásticas fenestradas en circulo. Entre estas células musculares (único tipo celular en túnica media, produce los demás componentes) lisas que se fijan a membrana.
o   Sustancia basal basófila: principalmente de proteoglucanos ácidos, fibras colágenas y elásticas.

-          Túnica adventicia:
o   Delgada
o   Tejido conectivo de fibras de colágeno.
o   Lámina elástica externa: membrana elástica fenestrada más externa de la túnica media, no se diferencia de las más elásticas que contiene. Pequeños vasos sanguíneos y linfáticos, vasa vasorum, acompañada de nervios o nervo vasorum.
o   Resto nutrición por difusión desde lumen, por fenestraciones de las membranas elásticas.

-          Sangre impulsada por contracciones rítmicas del corazón a arterias (tienen pulso).
-          Sístole (contracción de ventrículos) aumenta calibre, porque membranas elásticas retienen energía de la contracción.
-          Diástole o relajación se libera energía cuando las paredes se contraen.
-          Modera variaciones de presión.
-          Favorece flujo uniforme (en especial porciones terminales).

Arterias musculares:

-          Mayor parte de arterias del organismo.
-          Ramificaciones más  pequeñas de arterias elásticas.
-          Paredes de predominio de musculatura lisa, haciéndolas relativamente gruesas.
-          Entre 0,1- 10 mm de diámetro.
-          Regulan flujo sanguíneo a órgano (arterias de distribución). Células musculares lisas, por contracción, causan estrechamiento del lumen.

-          Túnica intima:
o   Sólo células endoteliales aplanadas, sobre lámina elástica interna, separadas por lámina basal, con evaginaciones que entran en contacto con células musculares lisas subyacentes a través de nexos.
o   Células de endotelio unidos por zonula occludens y nexos.
o   En las más grandes hay capa de tejido subendotelial.

-          Lámina elástica interna:
o   Bien desarrollada.
o   Línea ondeada eosinófila refrigerante teñida con H-E por recontracción (contracción agónica) de musculatura lisa de túnica media, causando pliegues longitudinales en esta lámina.

-          Túnica media:
o   Más de 10 capas de células musculares lisas concéntricas (grandes arterias). En pequeñas de 4-10 capas.
o   Células musculares con fibras de colágeno y elásticas en matriz glucoproteica teñidas intensamente con PAS. Únicas células de túnica media produciendo componentes extracelulares. Inervadas por fibras noradrenérgicas vasoconstrictoras y a veces por fibras colinérgicas vasodilatadores (por medio de receptores y liberación de NO). Se encuentran en estado de contracción parcial o tono.

-          Lámina elástica externa:
o   En transición a túnica adventicia una línea limitante, menos definida que en la interna, a veces con separaciones en varias capas (en las grandes).
o   No hay en pequeñas.

-          Túnica adventicia:
o   Gruesa, tejido conectivo laxo con vaso vasorum y nervios que penetran lo más superficial.

II-. Venas:

-          Conducen sangre de regreso al corazón.
-          Una arteria acompañada por varias venas, con mayor diámetro y mayor superficie transversal, y drenan zona irrigada por ésta.
-          Paredes más delgadas, por lo que presión es menor.
-          Presión hidrostática (mayor en miembro inferior) se refleja en  espesor de pared venosa, más gruesa en miembro inferior.
-          Pared con mayor tejido conectivo, ricas en tejido elástico (dilatación fácil).
-          Colapsadas por ser delgadas en cortes tisulares.
-          Paredes compuestas por las 3 capas, careciendo de láminas elásticas y limites menos nítidos.

Venas pequeñas y medianas:

-          Entre 0,1 y 1 mm (pequeñas) y entre 1-10 mm (medianas, son las superficiales y profundas de brazos y piernas).
-          En las medianas (superior a 2 mm) hay valvas a intervalos regulares, por repliegues de la túnica íntima con núcleo recubierto por capa endotelial; en forma de medialuna, sobresalientes al lumen en pares enfrentados, y el borde libre hacia el corazón. En sitio de fijación la pared es más delgada y musculatura lisa circunferencial de túnica media reemplazada por musculatura lisa longitudinal. Impiden el reflujo de sangre, ya que durante el retorno aplasta la valva contra la pared. El reflujo llena repliegues obstruyendo el flujo retrogrado de la sangre. Por delgadez, se produce ensanchamiento de pared venosa sobre cara de valva orientada hacia el corazón o seno de la valva. Están en venas que transportan contra gravedad. Venas del tórax y abdomen no poseen valvas.
 
-          Túnica intima:
o   Células endoteliales, rodeadas por delgada capa de tejido conectivo subendotelial (en medianas).
-          Túnica media:
o   Más delgada.
o   3-4 capas de células musculares lisas en forma circular.
-          Túnica adventicia:
o   Tejido conectivo laxo.
o   Mayor parte de la pared en las medianas.

Venas grandes:

-          Diámetro superior a 10 mm (vena cava).
-          Túnica íntima:
o   capa tejido conectivo subendotedial de mayor espesor.
-          Túnica media:
o   Muy delgada o ausente.
o   Pocas capas de células musculares lisas en disposición circular.
-          Túnica adventicia:
o   Muy gruesa.
o   Tejido conectivo y células musculares lisas en disposición longitudinal o adventicia muscular.
o   Vaso vasorum y linfáticos, y fibras nerviosas amielínicas.

III-. Sistema microvascular:

-          Intercambio de O2, CO2, agua, sales, nutrientes y metabolitos en capilares.
-          Arteriolas regulan flujo de sangre hacia los capilares, con pared muscular gruesa, responsables de la resitencia al flujo sanguíneo: vaso resistencia (disminución de la presion arterial para proteger la pared).
-          arteriolasà capilares à venulas postcapilares à venulas musculares.
 
Arteriolas 
-          Diámetro menor a 100 μm.
-          fibras simpático noradrenérgicas vasoconstrictoras y productos metabólicos local.
-          vasos de resistencias: tono muscular determina grado de resistencia perisférica y presión diastólica.
-          Túnica intima:
o   Células endoteliales aplanadas relacionadas por zonulae occludentes y nexos.
o   Contactos mioendoteliales: prolongaciones de divertículos desde la porción basal  a las células musculares lisas (túnica media)a través de lamina basal y elástica interna.
-          Lámina elástica interna
o   Bien definida que falta en la porción Terminal à metarteriola.
-          Túnica media:       
o   1 a 3 capas de células musculares lisas dispuestas concentricamente
-          Túnica adventicia:
o   Compuesta por tejido conectivo laxo.
            Lámina elástica externa:
o    No es bien definida.
-          Metarteriola: o esfínter precapilar
o   Porción Terminal de la arteriola
o   Regula flujo sanguíneo hacia el capilar, variando el grado de contracción
o   Diámetro luminar disminuye paulatinamente hasta 10 micrómetros
o   Células endoteliales rodeadas por células musculares lisas y alrededor hay tejido conectivo.

Capilares

-          Diámetro 10 μm.
-          Se anstomosan y forman reticulado à dominio o territorio capilar.}
-          Hay variación según los órganos.
-          Generalmente hay menos sangre en el dominio de lo que este puede contener, ya que presentan un canal o vía preferencial
-          vía preferencial:
o   porción proximal à metarteriola: capilares rodeados por células musculares lisas à esfínteres precapilares
                                                 à Características de capilar pero con luz mayor
-          Vía directa de la arteriola a la venula poscapilar. Los capilares se ramifican desde este canal, por el que pasa sangre, mientras que los capilares no siempre están abiertos, excepto en grandes demandas de O2.
-          Cantidad de sangre en el canal depende de la contracción de la metarteriola.
-          Cantidad de sangre que llega a los capilares depende del grado de contrición de los esfínteres.
-          pared capilar            à capa de células endoteliales
                                    à Lamina basal con pericitos
-          En capilares pequeños, solo una célula endotelial lo rodea. En los grades hay 2 o 3.

-          Capilares continuos
o   Tejidos musculares, encéfalo, tejido conectivo.
o   Celulas endoteliales engrosadas en el núcleo y en perisferia con espesor de 0,2 micrómetros
o   Se comunican por zonula ocludens.
o   Donde no hay, se separan por 10 a 20 nm     
o   Pocos organelos.
o   Hartas vesículas de diámetro 70 nm, relacionadas con plasmalema interno (luminar) y externo (abluminal).
o   En abluminal forman caveolas, plagamientos, o se fusionan y forman cadenas que dan origen a canales trasendoteliales.
o   Vesículas de pinocitosis à trascitosos: transporte transendotelial de moléculas hidrosolubles.
o   Endotelio limitado por lámina basal que se continúa con la de otros epitelios.

-          Capilares Fenestrados:
o   Están en la lámina propia del tubo digestivo, capilares renales y glándulas endocrinas.
o   Zonas endteliales muy aplanadas, donde hay fenestraciones de diámetro 70 nm.
o   Fenestraciones cerradas por diafragma, con engrosamiento central
o   Pocas vesículas.
o   Contacto por oclusión.
o   Lámina basal contínua.

-          Capilares Sinusoides
o   Hígado, bazo, medula ósea, hipófisis y glándulas suprarrenales
o   Diámetro 30 a 40 micrómetros, mas grades que los capilares comunes.
o   Adaptan la forma de los espacios entre placa o cordones epiteliales de los órganos
o   Transcurso retorcido y sinuoso
o   Paredes menos continuas y densas à hígado, bazo  y medula ósea
o   Paredes fenestradas à hipófisis y g. suprarrenales
o   Bazo y medula à aberturas que no están unidas por complejos de contacto.
o   Hígado à algunos sitios unidos por nexos y oclusion localizada. También agujeros citoplasmáticos en las células endoteliales (diámetro 0,1 microm), que no están cerrados por membrana (diferentes de fenestrados por no tener membrana y por el diámetro)

 
-          Pericitos
o   Células alargadas y su citoplasma rodea el endotelio sin formar una capa continua
o   En espacios de la lámina basal
o   Tienen actina, miosina y tropomiosina
o   Se piensa que son contráctiles y regulas en flujo sanguíneo en los capilares y venulas poscapilares
o   También fagocitan y no conforman una población uniforme

-          Vénulas
o   Poscapilares:
§  delgada capa de endotelio
§  Celulas relacionadas por contactos de oclusión mas laxos à contacto endotelial menos denso de los vasos sanguineos
§  Endotelio descansa sobre membrana basal rodeada por una capa de perictos
o   Musculares:
§  diámetro 50 a 100 microm
§  1 o 2 capas de células musculares lisas que rodean endotelio
§  Acompañan a arteriolas pero son distintas por su luz que esta colapsada y tienen contorno irregular.
§  No hay láminas elastinas interna y externa.

Células endoteliales:
-          Barrera de permeabilidad selectiva para intercambio de sustancias.
-          Secreta sustancias de coagulación, flujo sanguíneo local y presión arterial.
-          Pocos organelos secretores (RER, Golgi y gránulos de secreción).
-          Gránulos de secreción de Weibel- Palade en endotelio arterial: vesículas alargadas limitadas por membranas presente solo en endotelio de arterias. Se vacían en pared vascular, favoreciendo formación de trombo plaquetario y hemostasia. 
-          Superficie laminal no activa trombocitos, formando trombos plaquetarios, posiblemente por endotelio de glucosaminoglucano anticoagulante paransulfato, fijándose a plasmalema.
-          Coagulación sanguínea: derivados de prostaglandina [prostaciclina (PGI2) y óxido nítrico (NO)]. Inhiben adhesión de trombocitos actuando como anticoagulantes y accion vasodilatadora. Factor de von Willebrand favorece adhesión de trombocitos a pared vascular, estimulando coagulación (se almacena en los gránulos de Weibel- Palade).
-          En lesión se regenera por mitosis y migración de células cercanas.
-          Grado de contracción: sustancias vasodilatadores como prostaciclina (PGI2) y óxido nítrico (NO), y vasoconstrictoras como endotelina 1.
-          Mecanismos mecanorreceptores regulan secreción, junto con sustancias en la sangre (O2 y CO2).
-          Sustancias secretadas son moléculas señal con efecto paracrino (regulación de irrigación local), y actúan sobre presión arterial general (grado de constriccion de arteriolas o vasos de resistencia).
-          Secretan enzima convertidota de angiotensina (ECA): transforma angiotensina I en angiotensina II (efecto vasoconstrictor, por lo tanto, estimulante de presión arterial).

Histología- Sangre

-          Hematocrito es el porcentaje de volumen sanguíneo compuesto por glóbulos rojos (cerca del 43%).
-          En centrifugación, lo más inferior son los eritrocitos o glóbulos rojos, luego los trombocitos o plaquetas, y luego los glóbulos blancos o leucocitos. Éstos se denominan elementos figurados
-          Eritrocitos y plaquetas desempeñan función dentro de los vasos sanguíneos, y ambos carecen de núcleo.
-          Hay 5 tipos de leucocitos, y pueden ser agranulocitos (linfocitos y monocitos) o granulocitos (neutrófilos, eosinófilos o basófilos). Pueden ser mononucleares o polinucleares.
-          Cantidades en la sangre: Eritrocitos 4- 5 millones por μL, leucocitos 5000-9000 por mm3, y plaquetas 150.000- 350000.

Eritrocitos:
-          Contienen hemoglobina (33% del peso de la célula).
-          Discos bicóncavos, carecen de movimiento y soportan gran deformación.
-          Cuando no circulan por la sangre se agrupan en pilares de moneda, por modificaciones de la carga eléctrica.
-          Su forma es influida por fuerzas osmóticas. En solución hipotónica aumentan de tamaño.
-          Tienen membrana permeable, por lo que se filtra la hemoglobina, quedando estructuras incoloras o “fantasmas”.
-          Son rosados, ya que la eosina se une a los eritrocitos (99% de las células).
-          Casi redondos, con diámetro de 7,5 μm, con zona central delgada que se tiñe menos.
-          Cuando están maduros carecen de organelos, menos el plasmalema.
-          Citoesqueleto reticulado bidimensional formado por espectrina, la cual está fijada a la proteína de banda 3 (proteína transmembrana transportadora de aniones) por un eslabón intermedio o anquirina. También está unida a orea proteína integral de la membrana o glucoforina a través de la proteína de banda 4,1 y un corto filamento de actina.
-          Función de transporte de O2 y CO2. La hemoglobina es una proteína, globina, formada pro cuatro cadenas unidas a una porción Hem rica en hierro en forma reducida.
-          Poseen vida media de 120 días siendo degradados por macrófagos.

Leucocitos:
-          Gránulos plasmáticos refringentes.
-          Se desplazan por movimientos ameboides.

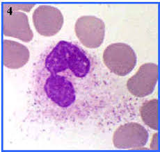
-          Granulocitos neutrófilos:
o   60% de los leucocitos.
o   12-15 μm de diámetro, núcleo dividido en 3-5 lóbulos (aumentan con la edad) unidos por cromatina que forma grumos gruesos muy coloreados.
o   Cuando son inmaduros y no está segmentado se denominan en cayado. Cuando hay más de 6 son hipersegmentadas.
o   Citoplasma con gránulos rodeados por membrana:
§  Secundarios o específicos: finos, se tiñen poco y se asemejan a partículas de polvo. Contienen fosfatasa alcalina, lactoferrina, colagenasa y lisozima.
§  Azurófiros o primarios: más grandes de color rojo o púrpura, y en menor cantidad. Miden 0,5 μm de diámetro, con interior homogéneo electrodenso. Contienen enzima mieloperoxidasa, lisosómica y lisozima.
o   Función en zonas inflamadas para fagocitar y eliminar microorganismos, con duración de 10 horas.

-          Granulocitos eosinófilos:
o   3% de los leucocitos.
o   12-15 μm de diámetro, y núcleo bilobulado unidos por fina hebra de cromatina, que puede presentar un grumo pequeño.
o   Se tiñen intensamente y no se ven nucléolos.
o   Citoplasma cubierto por grandes gránulos eosinófilos de 0,5 a 1 μm de diámetro, limitados por membranas, con un interior electrodenso con cristales. Contienen mieloperoxidasa y enzimas lisosómicas.
o   Función de intervenir en infestaciones parasitarias.

-          Granulocitos Basófilos:

o   0,5% de los leucocitos.
o   12-15 μm de diámetro, y núcleo con 2-3 lóbulos en forma de S.
o   Cromatina con grumos gruesos y se tiñen con menor intensidad.
o   No se ven nucléolos.
o   Gruesos gránulos densamente agrupados que se tiñen de rojo violáceo, de 0,5 μm de diámetro, limitados por membranas, con un interior electrodenso con cristales. Intensa metacromasia por heparina. También tienen histamina, enzimas lisosómicas y peroxidasa.
o   Son hidrosolubles.

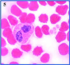
-          Monocitos:
o   5% de los leucocitos.
o   Células grandes de 12-18 μm de diámetro.
o   Núcleo arriñonado o herradura.
o   Cromatina de gránulo fino sin nucléolo visible.
o   Abundante citoplasma gris azulado con vacuolas y gránulos azurófiros dispersos, de diámetro de 0,4 μm con interior homogéneo y electrodenso. Contienen hidrolasas ácidas.

-          Linfocitos:
o   30% de los leucocitos.
o   Células pequeñas de 7 μm de diámetro.
o   Núcleo redondeado o con escotadura, que ocupa casi toda la célula, dejando borde azulado claro con gránulos azurófiros aislados.
o   Cromatina de gránulos gruesos sin núcleo visible.
o   Hay de 10-15 μm de diámetro con citoplasma granulado, denominados grandes linfocitos granulares.
o   Función de reacción inmunológica.

Trombocitos:
-          Tendencia a formar coágulos como agregados entre la fibrina.
-          Forma de gajo con diámetro de 3 μm, sostenido principalmente por haz anular de microtúbulos, con cantidades tambipen de actina y miosina. También hay REL en poca cantidad.
-          Se agrupan pudiendo formar grandes masas.
-          Zona central denominada granulómero: gránulos de púrpura a azul de tipo alfa, de 0,2 μm de diámetro con factor de crecimiento derivado de plaquetas (PDGF), factor de Von Willebrand (favorece la adhesión de los trombocitos a la pared de vasos), y fibrinógeno. También tiene gránulos densos o delta con serotonina y ADP.
-          Zona que rodea al granulómero denominada hialómero: no contiene gránulos.
-          No contiene componentes nucleares.
-          Grueso glucocáliz con invaginaciones tubulares que incrementan la superficie.
-          Función de hemostasia o detención de hemorragia mediante la formación de una placa trombótica, y mantenimiento de los vasos sanguíneos. 

1 comentario: